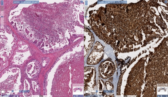
In G/GEJ tumours, CLDN18.2 is reported as the percentage of tumour cells stained with moderate-to-strong membranous stain intensity.1
This site is intended only for Healthcare Professionals who are interested in the management of gastric cancer and/or gastro-oesophageal junction cancers.
I AM NOT A HEALTHCARE PROFESSIONAL BUT WOULD LIKE MORE INFORMATION ON GASTRIC/GASTRO-OESOPHAGEAL JUNCTION CANCERSIn G/GEJ tumours, CLDN18.2 is reported as the percentage of tumour cells stained with moderate-to-strong membranous stain intensity.1
Matched H&E and IHC stain of gastric tumour necrosis (10x magnification)
Josef H. Rüschoff, MD

We are more than happy to support you in case you have questions. Feel free to reach out via e-mail.
![]()

![]()
![]()
References: 1. Pellino A, Brignola S, Riello E, et al. Association of CLDN18 protein expression with clinicopathological features and prognosis in advanced gastric and gastroesophageal junction adenocarcinomas. J Pers Med (Epub) 10-26-2021. 2. Rohde C, Yamaguchi R, Mukhina S, et al. Comparison of Claudin 18.2 expression in primary tumors and lymph node metastases in Japanese patients with gastric adenocarcinoma. Jpn J Clin Oncol 2019;49(9):870-6.